Cu totii ne dorim un zambet cat mai alb si impecabil.
Trebuie de stiut ca, pentru a indeplini acest lucru, in primul rand trebuie sa ne ingrijim dantura acasa in mod corespunzator.
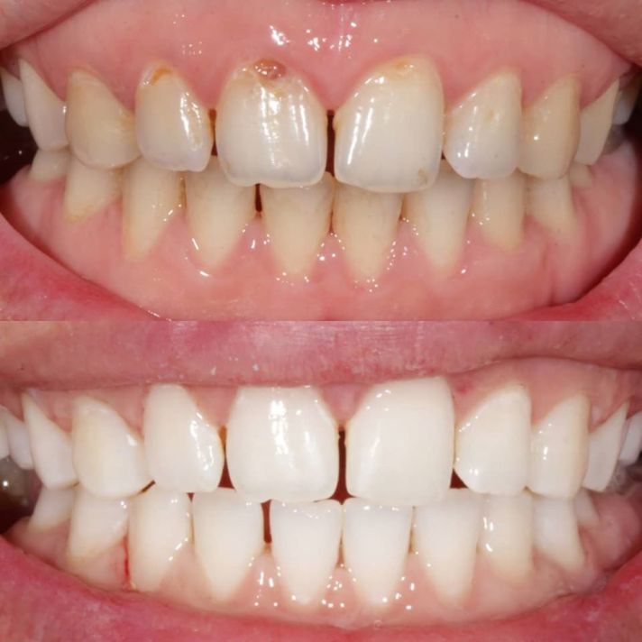
Si daca materialul genetic nu ne ajuta, sau nu am avut grija de dantura asa cum ar fi trebuit, putem apela la medicul dentist pentru a ne realiza o dantura alba si imaculata.
Dentistul poate propune pacientului doua variante de tratament pentru a realiza o estetica dentara deosebita:
- varianta minim invaziva – Albirea Dentara – care implica utilizarea unui gel special activat sau nu de o lampa. Conditiile pe care pacientul trebuie sa le indeplineasca pentru acest tip de tratament sunt: sa aiba dintii aliniati, intregi, fara plombe, fara carii si fara alte afectiuni dentare cum ar fi hipomineralizarea smaltului, tratamente endodontice, boala parodontala in stadiu avansat, tratamente cu tetraciclina in copilarie.
- varianta invaziva – Protetica Dentara – care implica slefuirea dintilor pentru a realiza Fatete Dentare, Coroane Dentare sau Punti Dentare, in functie de situatia clinica a fiecarui pacient.

